
支付平台

中信医疗

中信惠州医院
新闻资讯
资讯详情
中信惠州医院创伤中心多学科联合成功救治18岁交通事故危重伤员
近日,在中信惠州医院,一场与时间赛跑的生命营救紧张上演。一名年仅 18 岁的男性在骑电动车时与小汽车相撞,生命垂危。中信惠州医院在接到120 中心电话后迅速行动,第一时间赶赴现场,进行伤口包扎、建立静脉通道补液等紧急处理,随即将患者送回医院,启动医院创伤中心救治流程,展开后续救治。该患者伤势严重,被诊断为失血性休克,右肾严重挫裂伤并血肿形成,肝脏挫裂伤并血肿形成,右侧颞顶部硬膜下血肿,右侧液气胸,右肺挫伤并血肿,右侧第 4 - 6 肋前段及第 4 肋腋段骨折,右上臂皮肤挫裂伤,病情十分危急。

医院总监、创伤中心副主任兼骨科主任邓文军主任医师深知患者年轻,生命宝贵,伤势严重,务必全力挽救。立即亲临现场组织骨科、急诊科、普外科、泌尿外科、胸外科、神经外科、ICU、影像中心介入组等科室多学科专家联合展开救治。事发当天正值周末休息日,在接到邓文军总监的电话后,相关科室主任毫不犹豫,立即第一时间返岗投入急救工作,各专科主任结合患者病情提出治疗意见。由于该患者的病情危急,肾脏、肝脏均有明确损伤,有活动性出血,是否存在其他腹腔脏器的出血暂不明确。若按照传统手术,需要剖腹探查明确创伤出血的器官及时止血,但是该治疗方式创伤大,手术时间长,因右肾挫伤严重,术中需切除右肾的可能性极大。可是患者只有18岁,如切除肾脏会对其今后的生活带来严重的影响。经过多学科会诊后,各专科主任形成一致会诊意见,即先实施介入血管造影+栓塞止血术,如果介入治疗效果不佳再考虑剖腹探查手术。




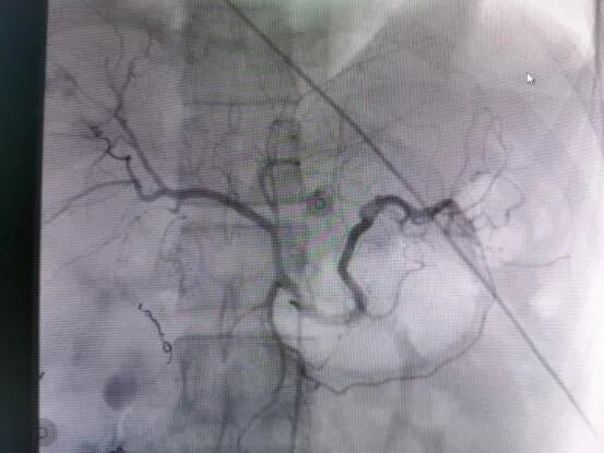
术前DSA造影图,红色箭头指示为出血点
救治方案明确后,患者立即被推入了手术室,在邓文军总监的指挥下,一场惊心动魄、紧张有序的手术开始了。各专科主任严阵以待,在院待命,随时做好开腹手术准备。介入手术由影像中心副主任兼介入组组长吴继雄主任医师亲自主刀,手术过程顺利,术中造影找到右肾脏有几处明显的活动性出血点,肝脏也有两处活动性出血点,给予及时栓塞止血后,再次造影无明显出血。整个手术仅约一个小时,刀口仅针眼大小,术中病人情况稳定,失血量不到10ml,患者成功脱离生命危险,术后被送入ICU密切观察诊治。病情平稳后转入普通病房,经过后续治疗目前该患者已经平安出院,出院时状态良好已经能自行走路。
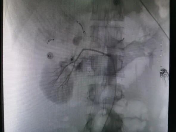
术后DSA造影图



此例交通事故危重伤员的成功救治,充分彰显了中信惠州医院作为“惠州市道路交通事故危重伤员救治定点医院”的综合技术实力和央企三级医院的责任担当,特别是医院创伤中心成立以来,多学科协作更加紧密,专科技术实力进一步增强,为危重症患者带来了生的希望。