关注中信
服务热线
5855999

支付平台

中信医疗

中信惠州医院
新闻资讯
资讯详情
中信惠州医院泌尿外科完成一例巨大肾癌根治性切除手术
分类:
医疗资讯
作者:
来源:
2024-11-06
【摘要】:
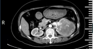
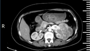
近日,我院泌尿外科在学科带头人陈善群主任的带领下,成功为一位 56 岁的女性患者施行了后腹腔镜下左肾癌根治性切除手术。此次手术的成功,解除了恶性肿瘤对患者生命的严重威胁,充分展现出泌尿外科在重大疾病诊疗以及高难度手术方面的诊疗能力。
1、病情诊断:
腰部胀痛半月 查出肾脏肿瘤


2、手术成功,患者预后良好


(术后病理提示)


