
支付平台

中信医疗

中信惠州医院
新闻资讯
资讯详情
超声引导下肝内肿瘤治疗新方法——针眼式微创消融技术
案例治疗经历回顾
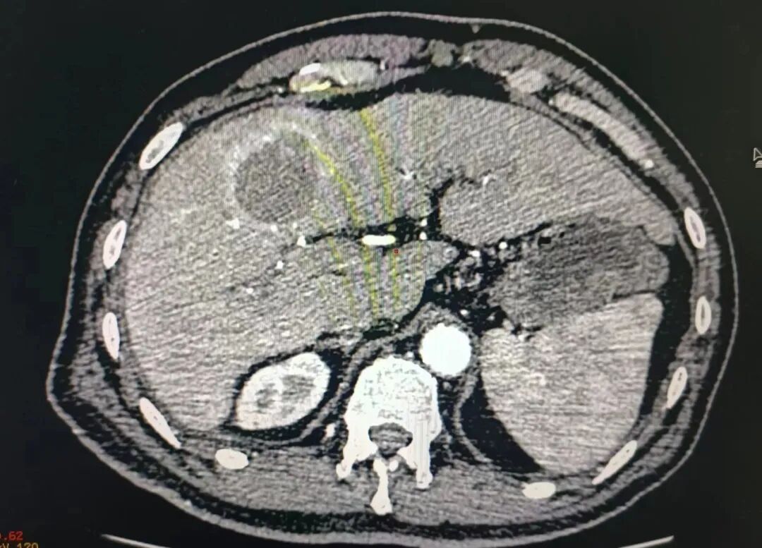
患者王先生,因酒精肝、肝硬化来我院住院治疗,住院期间发现肝S4低回声占位,考虑肝癌可能。
经多科讨论及研究后,经家属同意后,行超声引导下肝右叶肿瘤穿刺活检术及微波消融术,手术在南方医科大学南方医院吴凤林教授为技术指导下,功能科主任黄亮、医生严家伟、护士陈桃配合操作下。整个手术操作时间30分钟,过程顺利,术中及术后无明显疼痛。

(术前)

(术中)

(术后)

(手术针眼)
针眼式微创消融技术知识科普
什么是肝癌的微创消融治疗?
肝癌的微创消融治疗是在超声或者CT的引导下,将针形器具通过皮肤插入到肿瘤的局部,通过射频或微波等能量形式使针形器具前端发热,导致局部的温度增加。当温度增加到一定程度,并持续一定的时间之后,就会造成针尖的组织坏死。当坏死的范围覆盖整个肿瘤,就达到了局部灭活肿瘤组织的目的。

消融手术目前已经成为了除了外科手术外,又一种根除癌症病灶的根治性手段。只不过肿瘤还在患者体内,但其实那已经是一个完全坏死的病灶,对人身体健康不会再构成任何威胁。
目前中国相关指南给出的标准是≤5公分的肿瘤可以考虑使用消融手术。
术中的疼痛感微乎其微。消融手术大部分会采取局部麻醉,因此在术中患者几乎没有感觉,少部分患者可能会感受到轻微的热感。术后几个小时会有局部疼痛感,大部分患者术后2-3天疼痛感逐渐消失。
功能科简介
中信惠州医院功能科,集电生理、超声诊断、超声介入治疗及教学为一体的学科。现有工作人员15人,其中高级职称5人、中级职称2人,初级职称3人,医师辅助人员2人,前台护士2人。我科时刻谨记“不忘初心,牢记使命”,以患者为中心的理念,为广大人民群众提供高质量的医疗服务。科室拥有GE VOLUSON E10、PHILIP EPIQ5、等高端彩色超声诊断仪。
诊疗项目:
6.介入方面,脏器、浅表组织活检,囊肿硬化治疗、脓肿及积液的穿刺置管治疗、消融介入治疗等。